Understanding gum disease is the first step toward prevention and timely treatment. Regular dental visits can help detect and address early signs of gum disease, ensuring optimal oral health.
Gum disease is an inflammation of the gum line that can progress to affect the bone that surrounds and supports your teeth.
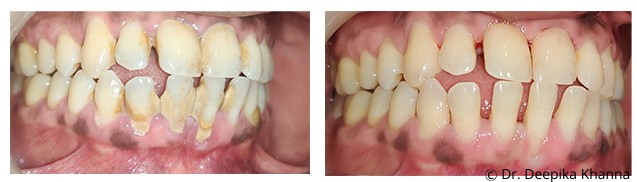
Gum disease, also known as periodontal disease, begins with bacterial growth in the mouth, the localised inflammation of the gums is initiated by bacteria in the dental plaque, which is a microbial biofilm that forms on the teeth and gums. Nearly 70% of the people are affected by this disease at some point in their life.
Despite being such a common disease, most people are unaware of the issue and the subsequent problems it can cause.
Have referred to gingiva as gums. Gingiva may not be understood by the lay person.
The primary cause of gum disease is poor oral hygiene. Bacterial build-up increases when one doesn’t brush or floss properly. There are other causes that can cause gum disease.
Smoking or chewing tobacco which makes difficult for gum tissues to repair
Consuming certain medications (oral contraceptives, steroids, anticonvulsants, calcium channel blockers, and chemotherapy) lessen the saliva flow that protect teeth and gums. Some medicines even cause abnormal growth of gum tissue.
Crooked or misaligned teeth.
Hormonal changes such as puberty, menstruation, menopause, pregnancy etc. can make your gums sensitive and as a result prone to gum diseases.
Certain illnesses such as cancer and HIV make your immune system weak and make you more susceptible to developing gum disease. Also, people who are diabetic are more prone to get gum disease.
Genetic susceptibility such as family history can contribute to gingivitis.
Symptoms of gum disease
Bleeding of gums when you brush or floss your teeth
Pulling of gums away from the teeth
Teeth loosening
Change in the way your teeth fit together when you bite (malocclusion)
Pus between teeth and gums
Pain while chewing
Teeth sensitivity
Tender, red or swollen gums
Ill-fitting partial dentures
Foul breath that doesn’t go away even after brushing
Deep space formation between gums and teeth
Stages of gum disease
Treatments
There are two broad types of treatment i.e. Non-surgical and surgical.
Non-surgical
Surgical
Deep cleaning:
We remove the plaque/tartar from below and above the gum line. This is done in the very initial stage of developing a gum disease.
Flap surgery: In this process, an incision is made on the gums to remove the tartar. Sometimes the irregular surface of the bone is smoothened so that there are no areas for the bacteria to hide. This method is used to remove the gap between gums and teeth.
Scaling & root planing:
We give local anaesthesia and remove plaque and tartar from above and below the gum line. We then smoothen out the rough spots to help remove the bacteria.
This is also a deep cleaning process.This is done only if we find calculus deposits under the gum.
Bone graft: This method is used to regenerate the bone. The dentist uses fragments of synthetic bone, donated bone or your own bone which is used to replace the bone destroyed due to gum disease.
Soft tissue graft: This method is used if the gums have receded. Gums are taken from the roof of the mouth and are stitched to the area of gum recession.
Guided tissue regeneration: Done along flap surgery when the bone which supports your teeth is destroyed.Your dentist will insert a small piece of mesh-like fabric between your bone and the gum tissue.
What can you do to help prevent gum disease?
Brush your teeth twice a day (with a fluoride toothpaste).
Floss regularly to remove plaque from between teeth.
Visit your dentist after every 6 months for a routine check-up and professional cleaning.
Quit smoking.
Faq
Can Gum Disease Be Treated On Its Own?
No, gum diseases cannot be treated on its own. Gum diseases are caused by the development of tartar on the teeth leading to gum infection. This requires dental cleaning and good oral care routine. You will need to schedule a professional cleaning and polishing appointment at Dr. Deepika’s Dental clinic.
How Long Does It Take For Gum Disease To Be Cured?
Gum diseases are categorized into 4 stages, gingivitis, slight periodontal disease, moderate periodontal disease, and advanced periodontal disease. Curing gum diseases and gum infection depends on the stage at which treatment begins. The recovery time at stage one is 10-14 days.
Is Gum Disease Treatable?
Yes, gum diseases are treatable. The recovery and treatment duration depends on the stage at which a gum infection is identified and preventive measures are taken.
What Is The First Sign Of Gum Disease?
The first sign of gum disease is red, tender and swollen gums that cause discomfort, gum bleeding and pain. Gums can also bleed while brushing, which is commonly considered as a sign of gingivitis-stage one of gum diseases.