Experience the transformative power of full mouth reconstruction in the hands of our skilled specialist, Dr. Deepika Khanna. Schedule a consultation today and embark on a journey toward flawless results and optimal oral health.
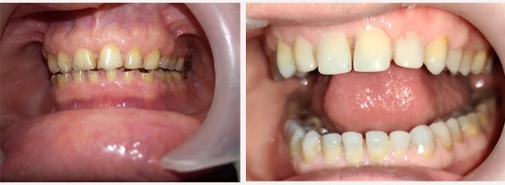
Life and time tend to take a toll on various aspects of our life. Full mouth reconstructions (rehabilitations) are needed when the oral health as a whole has deteriorated due to multiple dental problems. As complex as it may seem, such cases can be treated to produce flawless results and restore the oral function back to normal if the treatment is planned well and executed by our skilled specialist Dr. Deepika Khanna.
Full mouth rehabilitation deals with the science of treating a mutilated dental situation that involves treatment of many or all teeth and helps them function in harmony with the surrounding muscles and the jaw joint.
The teeth in the human body work in a very fine balance with the surrounding gums, muscles and the jaw joint. The ravages of time, age and diseases, combined with the stress of modern lifestyle can lead to a breakdown of one or more of these elements in our systems.
Loss of natural teeth, failure to replace missing teeth or progressive tooth wear sometimes created by consumption of acidic cola-based drinks or due to gastric reflux disorders create a complex problem in dental management. This leads to a poor unaesthetic smile and may be further complicated by frequent headaches and jaw joint pain.
Such patients with advanced dental bite problems require comprehensive dental care that aims at full mouth rehabilitation to restore the teeth to their ideal form and provide a good smile with a healthy joint.
Why us?
With years of experience and an MDS in Prosthodontics, Dr.Deepika Khanna leads a highly skilled and compassionate team. Apart from her education, she has also received special training from internationally acclaimed dentists to develop a deeper understanding of this complex subject and is therefore highly capable to provide the best care for her patients.
Faq
What is involved in a Full mouth Rehabilitation Procedure?
While planning such cases numerous factors are taken into consideration such as the patient’s primary and secondary problems, their expectations, their existing medical and oral condition and of course their time and budget constraints if any to arrive at the most practical treatment plan for a particular case.
The success of such cases depends upon the microscopic precision of the work executed and therefore we at Dr. Deepika’s Dental Clinic have a highly skilled set of specialists who have received advanced training from the Internationally acclaimed mentors to exclusively perform such complex procedures.
What is the cost of the procedure?
The patients who undergo these kinds of treatments often require multiple procedures for multiple teeth, gums & jaw joint. The extent of these procedures may vary from person to person. Hence it is difficult to put a fixed cost for all. Nevertheless, on an average, patient spend in the range of 2 to 6 lacs depending on the complexities and the number of procedures involved.