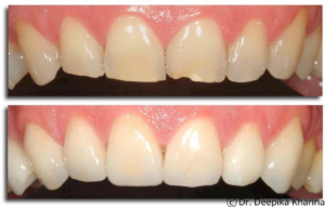
When it comes to transforming your smile, porcelain laminate veneers and crowns take center stage. Popular, successful, and efficient, they work wonders in restoring damaged teeth to their former glory.
Porcelain laminate veneers are coatings crafted out of porcelain that are bonded or stuck to the front surface of a tooth. They enhance the look of your smile with hardly any discomfort. These veneers are made to suit the patient’s individual needs and are indistinguishable from natural teeth.
Of all the methods available for changing and improving the look of your smile, porcelain (ceramic) laminate veneers and crowns are the most popular, successful and quick. With the help of this a damaged tooth can be saved and repaired to look and feel like the original.
The process requires a few short visits to a dentist. It is simple and relatively painless. Your dentist will first determine which teeth require veneers. Depending on how much tooth shaping is required, you may/may not require anaesthesia.
Minimal shaping of your teeth is then done and an impression is taken. Ceramic veneers take between 1-2 weeks to be made. During that period your teeth may be fitted with temporary veneers to prevent sensitivity. Ceramic veneers are bonded to the teeth using special adhesives. Once fixed, these veneers are exceptionally strong. It takes only a day or two to get used to them.
Getting porcelain veneers requires us to remove a thin layer of your enamel to make room for your veneers. After we remove the thin layer, it is possible that your teeth feel sensitive afterward. While you wait for your permanent veneers to return from the lab, you will wear a temporary set. This should help alleviate some of the tooth sensitivity. After we place your permanent pair, your sensitivity should go away. If it still lingers, you should inform us.
Traditional porcelain veneers like the ones we offer at our dental practice are not reversible. This is because we have to remove a thin layer of your enamel. And the removal of enamel layer cannote be reversed. there are some veneers like Lumineers that don’t require any preparation of the tooth. Those types of veneers are highly reversible but not as durable or aesthetic like porcelain. You can also opt for dental bonding with componeers if you’re not ready to commit to porcelain veneers yet. You shouldn’t worry about the reversibility of your treatment though. Your brand new smile will look so amazing that you won’t think of going back!
Although it depends on your habits and hygiene routine, dental veneers can last anywhere between 15 to 25 years before they need to be replaced
It depends on your dental insurance. Most dental insurances won’t cover porcelain veneers if they’re only for cosmetic reasons. If they’re helping to restore your tooth, it’s possible your insurance might cover a portion. We recommend asking your insurance to find out.
Yes, you can eat any food. However, it’s important to not chew on ice, bite your nails or chew on anything else that’s not supposed to be eaten. Otherwise, you can damage your veneers.
No. As long as you continue your regular brushing, flossing, and professional cleaning visits, you’re not at a higher risk of developing cavities from your new veneers.
No! One of the top benefits of porcelain veneers is that they don’t stain. You can drink all the coffee and red wine you want while you have veneers without facing the consequences of a yellow smile. Your teeth underneath the veneers can stain, however. Make sure you’re still rinsing your mouth with water after consuming anything that can potentially stain your teeth to help prevent stains.
No! We apply a local anesthetic to prevent any type of pain from occurring during the preparation portion of the procedure. Bonding the actual veneers to your teeth is completely painless. Improving your smile with veneers is pain-free!
It depends on how many veneers you get. The first appointment consists of smile analysis and pre procedural preparation and mock-ups, followed by preparing your teeth and taking impressions while the third appointment focuses on bonding the veneers to your teeth. Most patients don’t spend more than a few hours with us.
If you’re free of gum disease and cavities and have overall good oral health, you’re likely a good candidate for porcelain veneers. If you grind or clench your teeth, you will need to be strict about wearing a bite -guard to protect your veneers from damage though. A thorough smile analysis and discussion with our specialist can give you a better understanding.
It depends. Every patient is different and requires a different number of veneers to achieve their goals. Some patients might need just a few while others might require up to 12. Schedule a consultation with Dr.Deepika Khanna to find out how many veneers you need to achieve your goals.
First, don’t panic! This is highly unlikely to happen but if it does, the first thing you should do is find the veneer and put it in a safe spot. Don’t try to super glue it onto your tooth. Please contact our dental office at your earliest convenience so we can reattach the veneer.
Yes! If your teeth are minorly crooked, veneers can help their shape look much straighter and save you from going through a lengthy orthodontic treatment. Not all patients are a good candidate for this solution though. Please ask Dr. Deepika Khanna if porcelain veneers are ideal for making your teeth look straight or if you should explore other orthodontic options like Invisalign or braces instead.
Schedule a Consultation for Porcelain Veneers with Dr. Deepika Today.
