Advanced gum surgery is required in certain cases such as periodontitis i.e. severe gum disease. When scaling, root planning or antibiotics are not viable options anymore, advanced gum surgery is recommended.
Advanced gum surgery is required in certain cases such as periodontitis i.e. severe gum disease. When scaling, root planing or antibiotics are not viable options anymore, advanced gum surgery is recommended.
A flap procedure cleans the roots of a tooth and repairs bone damage caused by gum disease, by pulling back a section of the gums and sewing them back into place after. A gum specialist (periodontist) performs the procedure.
The bone may be smoothed and reshaped so that plaque has fewer places to grow. It may also be repaired (grafted) with bone from another part of the body or with man-made materials. The doctor may place a lining on the bone graft to help the bone grow back. The lining may need to be removed later.
Gingivectomy
Gingivectomy involves the surgical removal of gum tissue. This procedure may be carried out surgically or with the help of laser or electrocautery.
Laser technology comes with a lot of advantages such as no requirement of local anaesthesia, no bleeding, minimal post-operative pain and faster healing.
Gingival Curettage
When a case of periodontitis or gum disease results in shallow periodontal pockets, gingival curettage is advised. Gingival curettage involves deep cleaning and removal of tartar and bacterial plaque from the gingival pockets. Gingival curettage is a procedure that improves the stability of the teeth and the health of the gums.
This procedure can be performed either manually under local anaesthesia or with lasers. The benefit of using laser technology is that an anaesthesia injection is not required.
Faq
What To Expect After flap Surgery?
Typically it takes only a few days to recover from a flap procedure. Be sure to follow the home care instructions that your dentist gives you. If you have questions about your instructions, call us @ 9764267351
The following are general suggestions to help speed recovery:
Take painkillers as prescribed.
After 24 hours, you can rinse your mouth gently with warm salt water several times a day to reduce swelling and relieve pain.
Change gauze pads before they become soaked with blood.
Relax after surgery. Strenuous physical activity may increase bleeding.
Eat soft foods such as dal, rice, curd,pudding, or light soup. Gradually add solid foods to your diet as the area heals.
Do not lie flat. This may prolong bleeding. Prop up your head with pillows.
Avoid spitting for the first 24 hrs
Continue to carefully brush your teeth and tongue.
Apply an ice or cold pack to the outside of your mouth to help relieve pain and swelling.
Do not use sucking motions, such as when using a straw to drink.
Do not smoke or consume alcohol
A few days after the procedure, your dentist will remove the stitches.
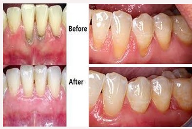
How are the results after gum surgery or a flap procedure?
If you maintain good dental care after the surgery, the flap procedure should allow you to clean your teeth and gums better. Your gums should become pink and healthy again
What are the risks involved after flap surgery?
The roots of your teeth may become more sensitive.
The contour or shape of your gums may change.
Gum surgery can introduce harmful bacteria into the bloodstream. Gum tissue is also at risk of infection. Therefore, we prescribe antibiotics before and after surgery.
If you have a systemic health condition that puts you at high risk for a severe infection or if infections are particularly dangerous for you must inform the dentist well in advance.
You may need to take antibiotics if you:
Have certain heart problems that make it dangerous for you to get a heart infection called endocarditis.
Have an impaired immune system.
Had recent major surgeries or have man-made body parts, such as an artificial hip or heart valve.
In a nutshell:
A flap procedure is often needed to save teeth that are supported by a bone damaged by gum disease.
Gum disease usually will come back if you do not brush and floss regularly after surgery.
To promote healing, stop all use of tobacco. Smoking or using spit tobacco decreases your ability to fight infection of your gums and delays healing. To learn more, see the topic Quitting Smoking.
You will need to see your dentist regularly so that he or she can follow your progress. If your gum disease spreads, you may lose teeth.